Case Details
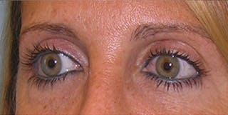
Upper lid blepharoplasty and lower eyelid skin pinch
Patient ID:
B11
Age:
31-40
Gender:
Female
Post-Op:
1 year
Surgical Procedures:
Eyelid Surgery
Full Case Details:
Mrs. F’s eyelids were bothersome, specifically the asymmetry and the overlapping skin towards the side of the eyelid. To reduce horizontal lines in the lower lids, she was treated with an upper lid blepharoplasty and a lower lid skin pinch. The eyelids look much more open after the procedure, and she is very pleased with the subtle changes.













































