Case Details
Upper lid blepharoploasty for asymmetry
Patient ID:
B10
Age:
51-60
Gender:
Female
Post-Op:
8 Months
Surgical Procedures:
Eyelid Surgery
Full Case Details:
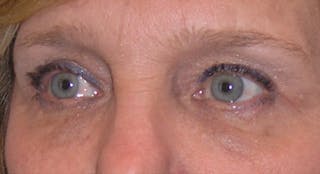
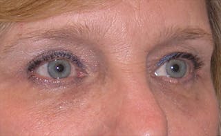
Upper eyelid asymmetry and hooding were main concerns for Mrs. S. An upper eyelid eye lift (blepharoplasty) with fat removal was done to improve her eyelid appearance and create improved symmetry in the upper eyelids.













































