Case Details
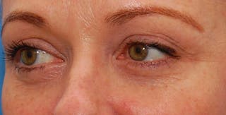
Under Eye Filler with botox
Surgical Procedures:
BOTOX, and Fillers
Full Case Details:
Filler was used to reduce the appearance of under-eye circles, while Botox was used to reduce the volume of the jelly roll (prominent muscle rolls just below the eyelashes), which can add to the shadowing under the eyes.















































