Case Details
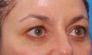
Botox and filler to eye area
Patient ID:
Rhino103
Surgical Procedures:
Fillers, and BOTOX
Full Case Details:
Combining Botox and fillers in the eye area can have a significant effect on looking refreshed and brighter.















































