Case Details
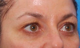
BOTOX and filler to eye area
Patient ID:
Rhino103
Gender:
Female
Surgical Procedures:
BOTOX, and Fillers
Full Case Details:
Combining BOTOX and fillers to the eye area can have a significant effect on looking refreshed and brighter.































